- Лабораторные анализы помогают выявить рак головного мозга – диагностика и лечение
- Плановые обследования – залог раннего обнаружения болезни
- Общий анализ крови или специальный?
- Залог раннего выявления
- Методы общего анализа крови
- Последние исследования и новости медицины
- Онкомаркеры и раннее выявление заболевания
- Преимущества методов анализа крови для диагностики рака головного мозга
- Видео:
- ОПУХОЛЬ ГОЛОВНОГО МОЗГА: как не пропустить у себя тревожные симптомы
Лабораторные анализы помогают выявить рак головного мозга – диагностика и лечение
Современные исследования и методы диагностики играют важную роль в выявлении различных заболеваний. Особенно важны они в случаях, связанных с раком головного мозга. Это опасное заболевание занимает одно из первых мест среди онкологических патологий, и его обнаружение и выявление на ранней стадии является залогом успешного лечения.
Одним из методов, который позволяет выявить рак головного мозга, являются лабораторные анализы. Именно они помогают определить наличие опухоли и ее расположение, а также определить тип и стадию заболевания. Эти анализы проводятся на основе образцов крови и тканей пациента.
Недавние исследования показали, что анализ крови на рак головного мозга является наиболее эффективным методом для раннего обнаружения этой опасной патологии. Специалисты отмечают, что поскольку лабораторные анализы позволяют выявлять опухоль на ранней стадии, это дает возможность для своевременного начала лечения и повышает шансы на полноценное выздоровление пациента.
Плановые обследования – залог раннего обнаружения болезни

В процессе обследований осуществляется анализ тканей и крови пациента на наличие определенных онкомаркеров – веществ, которые могут указывать на наличие опухоли или других онкологических заболеваний мозга. Последние исследования показали, что отсутствие определенных маркеров или изменения их уровня в организме могут свидетельствовать о возможных патологиях мозга.
Раннее выявление заболевания головного мозга имеет решающее значение для успешной терапии. Благодаря плановым обследованиям врач может выявить болезнь на ранней стадии, что позволяет назначить необходимое лечение и провести операции при необходимости. Плановые обследования могут включать общий анализ крови и других биологических материалов, специальный метод диагностики тканей и другие методы, которые помогут выявить возможные патологии мозга.
| Методы обследования | Цель |
|---|---|
| Общий анализ крови | Выявление особых изменений в организме пациента |
| Биохимический анализ крови | Определение уровня определенных веществ для выявления патологий |
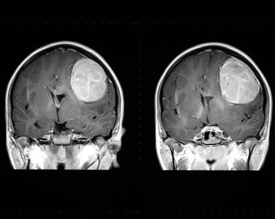
| МРТ (магнитно-резонансная томография) | Визуализация структуры и состояния головного мозга |
Процесс обследования головного мозга может занять некоторое время. Однако благодаря использованию современных методов диагностики, можно достаточно быстро получить результаты анализа и выявить возможное заболевание мозга на ранней стадии. Регулярные плановые обследования – важный залог раннего обнаружения болезни и успешного лечения.
Общий анализ крови или специальный?
Залог раннего выявления
Рак головного мозга – это опухоль или заболевание мозга, которое может быть сложно обнаружить из-за своего расположения. Для точного диагноза и плановых операций обычно требуется биопсия ткани мозга. Однако, в случае рака головного мозга, невозможно сделать биопсию на ранних стадиях заболевания. Поэтому общий анализ крови является ключевым методом исследования для раннего выявления патологий мозга.
Методы общего анализа крови

Общий анализ крови – это простой и доступный метод диагностики различных заболеваний. Поскольку онкологические опухоли приводят к изменениям в составе крови, общий анализ крови помогает выявить такие изменения и подозревать наличие рака головного мозга.
В последние годы в медицине также активно исследуются методы по выявлению рака головного мозга при помощи специальных анализов крови, называемых онкомаркеры. Однако пока нет однозначных доказательств эффективности этих методов, поэтому общий анализ крови является основным методом диагностики патологий мозга.
Наличие определенных изменений в общем анализе крови может подсказывать врачу о необходимости дополнительных обследований, таких как компьютерная томография или магнитно-резонансная томография головы, для более точного определения диагноза и локализации опухоли.
Все это свидетельствует о том, что общий анализ крови является одним из основных методов диагностики рака головного мозга. Данный анализ не заменяет специализированные методы, но в своем сочетании со специальными обследованиями позволяет выявить раннее заболевание.
В итоге, общий анализ крови является важным исследованием для выявления патологий мозга и помощью в диагностике рака головного мозга. Раннее обнаружение этого заболевания – залог успешного лечения и высоких шансов на выздоровление.
Последние исследования и новости медицины

Традиционные методы диагностики, такие как обследования и плановые операции, лишь частично способны обнаружить заболевание в ранней стадии. В то же время, надежным и ранним методом выявления рака головного мозга стал анализ крови на наличие опухолевых маркеров. Этот специальный метод позволяет обнаружить патологии уже на ранних стадиях, когда их расположение или размеры часто еще невозможно установить другими методами исследования.
Онкомаркеры и раннее выявление заболевания

Онкомаркеры – это биохимические вещества, вырабатываемые опухолевыми тканями или тканями, окружающими опухоль. Они могут быть обнаружены в крови, моче и других биологических жидкостях пациента. Определенные комбинации онкомаркеров могут указывать на наличие определенного типа рака головного мозга.
Для диагностики рака головного мозга с помощью анализа крови могут применяться различные методы. Один из наиболее распространенных методов – это обнаружение опухолевых маркеров. Такие анализы позволяют выявить наличие определенных веществ, которые указывают на наличие опухоли головного мозга.
Преимущества методов анализа крови для диагностики рака головного мозга

Преимущества анализов крови для выявления рака головного мозга заключаются в их относительной простоте и независимости от времени проведения. Кровь может быть взята для анализа в любое удобное для пациента время, что делает этот метод диагностики более удобным и доступным. Кроме того, анализ крови может быть осуществлен без проведения сложных и инвазивных процедур, таких как биопсия головного мозга.
Несмотря на все преимущества анализов крови для диагностики рака головного мозга, необходимо учитывать, что они являются всего лишь дополнительными методами исследования. Для окончательного диагноза и планирования лечения может потребоваться проведение дополнительных обследований и операций.
В свете последних исследований и новостей медицины можно сказать, что лабораторные анализы крови на онкомаркеры – это эффективный способ диагностики и выявления рака головного мозга. Они помогают выявить заболевание на ранних стадиях, что открывает больше возможностей для успешного лечения и повышает выживаемость пациента.
Видео:
ОПУХОЛЬ ГОЛОВНОГО МОЗГА: как не пропустить у себя тревожные симптомы
ОПУХОЛЬ ГОЛОВНОГО МОЗГА: как не пропустить у себя тревожные симптомы by Жизнь без боли 86,421 views 2 years ago 5 minutes, 55 seconds








