- Дисциркуляторная энцефалопатия головного мозга — причины, симптомы и методы лечения
- Почему возникает
- Классификация
- Медикаментозная классификация:
- Немедикаментозная классификация:
- Симптоматика
- Стадии болезни
- Может ли пациент стать инвалидом
- Диагностика
- Лекарственная терапия
- Классификация лекарственных средств
- Признаки нарушенного кровообращения
- Лечение и немедикаментозное воздействие
- Немедикаментозное лечение
- Диета
- Физические упражнения
- Избегание факторов риска
- Диета
- Профилактика
- Видео:
- Диагностика дисциркуляторной энцефалопатии
Дисциркуляторная энцефалопатия головного мозга — причины, симптомы и методы лечения
Дисциркуляторная энцефалопатия головного мозга является серьезным немедикаментозным заболеванием, которое влияет на функционирование головного мозга. При этой болезни кровообращение нарушается в различных областях мозга, что приводит к развитию неврологических симптомов у пациента. Главная причина этой болезни — атеросклероз, когда стенки артерий забиваются холестериновыми бляшками и ухудшается кровоток. Пациентам с дисциркуляторной энцефалопатией важно соблюдать правильный образ жизни в целом и строго выполнять назначения врача, чтобы поддерживать нормальное количество артериального давления и предотвращать развитие болезни.
Данная болезнь проявляется на разных стадиях и может привести к инвалидности пациента. Поэтому остро необходимо следить за состоянием пациента и своевременно обращаться к врачу для диагностики и лечения. Лечение дисциркуляторной энцефалопатии включает как лекарственные средства, так и немедикаментозные подходы, включая коррекцию питания, физическую активность и регулярные контрольные обследования.
Классификация дисциркуляторной энцефалопатии головного мозга включает несколько стадий, каждая из которых отличается по симптоматике и терапии. Состояние больного пациента может быстро ухудшаться, поэтому важно не только правильно диагностировать, но и выбрать наиболее подходящую терапию для каждого пациента. Соответствующая профилактика заболевания может существенно повысить качество жизни человека и уменьшить риск развития нарушений головного мозга.
Почему возникает
Классификация этой болезни имеет несколько стадий. На первой стадии болезни можно наблюдать неврологические симптомы, такие как головная боль, шум в ушах, головокружение и т. д. Вторая стадия характеризуется нарушениями задержки внимания, памяти, раздражительностью и эмоциональными изменениями. На третьей стадии возникают серьезные проблемы со зрением, слухом и моторикой.
Почему возникает эта болезнь? Главным фактором возникновения дисциркуляторной энцефалопатии является нарушение кровообращения в головном мозге. Это может быть связано с возрастными изменениями, атеросклерозом, повышенным артериальным давлением или другими причинами. Также роль играет наследственность.
В том числе, на развитие болезни оказывает влияние образ жизни и питание пациента. Диета и регулярные умеренные физические нагрузки наиболее эффективны. Помимо немедикаментозного лечения, особую роль играет профилактика. Ее главные принципы — следить за состоянием артериального давления, выполнение предписаний врача и поддержание здорового образа жизни.
Важно отметить, что количество крови, которое поступает в мозг, отличается от общего количества, поэтому довольно немного крови можно использовать для поддержания нормального функционирования мозговых клеток.
Для диагностики и лечения пациентам назначается довольно большое количество медицинских средств. Терапия направлена на улучшение кровообращения, нормализацию артериального давления и предупреждение развития нарушений функций головного мозга.
Классификация
Классификация ДЭГМ основывается на проявлениях и стадиях болезни. Существует медикаментозное и немедикаментозное лечение, которое зависит от состояния пациента и стадии заболевания.
Медикаментозная классификация:
1. Профилактика и терапия атеросклероза сосудов головного мозга. Включает использование лекарственных средств для улучшения кровообращения, снижения уровня холестерина в крови и снижения артериального давления.
2. Лечение неврологических проявлений ДЭГМ. Включает использование препаратов, которые улучшают работу мозга, снижают возникающие симптомы и предупреждают прогрессирование заболевания.
Немедикаментозная классификация:
.jpg)
1. Диета. Правильное питание способствует поддержанию здорового состояния и улучшению функций мозга. Пациент должен следить за своим питанием, соблюдать диету с ограниченным содержанием жиров и холестерина, увеличивать количество потребления овощей, фруктов и отказаться от вредных привычек.
2. Избегать факторов риска. Пациент должен избегать курения, интенсивного физического напряжения, длительного пребывания в шумных и загрязненных областях.
3. Поддерживать активный образ жизни. Систематические физические упражнения и регулярные прогулки помогают поддерживать кровообращение в норме и снижают риск развития атеросклероза.
4. Выполнять мероприятия по снижению стресса. Стресс может негативно влиять на состояние пациента, поэтому рекомендуется использовать методы релаксации и управления стрессом.
В зависимости от стадии заболевания, количество и области нарушений кровообращения в головном мозге различают несколько стадий ДЭГМ. Первая стадия характеризуется минимальными проявлениями болезни, отличается отсутствием выпадения пациента из общего круга лиц и возможностью нормально выполнять повседневные задачи. Ниже описаны основные признаки каждой стадии:
1. Субкомпенсация (начальная стадия):
- Минимальная симптоматика, которую окружающие могут не заметить.
- Пациент может испытывать периодические головные боли, шум в ушах и утомляемость.
- Однако, он способен работать и вести обычный образ жизни без значительных ограничений.
2. Декомпенсация (средняя стадия):
- Симптомы становятся более выраженными и частыми.
- Возникают нарушения памяти, концентрации и мышления.
- Пациенту трудно выполнять повседневные задачи и иногда нуждается в помощи других людей.
- Может наблюдаться нарушение сна и эмоциональные расстройства.
3. Деменция (тяжелая стадия):
- Серьезные нарушения памяти и мышления, которые существенно затрудняют жизнь пациента.
- Пациент может сильно измениться в психологическом и эмоциональном отношении.
- В обычной жизни он нуждается во всесторонней помощи и может стать инвалидом.
Важно отметить, что классификация ДЭГМ является условной, и каждый пациент может иметь индивидуальные особенности и комбинации симптомов.
Симптоматика
На ранней стадии наблюдается неврологические нарушения и снижение памяти, а также нарушение речи и координации движений. Человек может испытывать головную боль, шум в ушах, а также проблемы со сном и настроением. Пациент может быть раздражительным и утомляться быстро.
На следующей стадии болезни симптоматика становится более выраженной. Возникают физические и умственные нарушения. Человек испытывает проблемы с памятью, общением и осознанием событий. Также наблюдается нарушение координации движений и вестибулярные проблемы. Пациент может стать инвалидом и нуждаться в постоянном уходе и наблюдении врача.
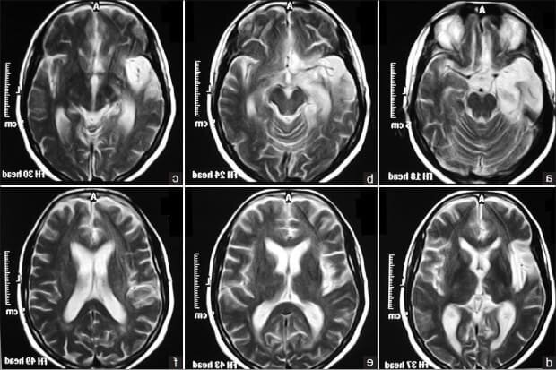
Диагностика болезни включает в себя использование различных методов, таких как нейропсихологические тесты, электроэнцефалограмма и магнитно-резонансная томография головного мозга. Классификация болезни основана на состоянии кровообращения в головной области и наличии нарушенного артериального давления.
Лечение дисциркуляторной энцефалопатии головного мозга может быть как медикаментозное, так и немедикаментозное. Немедикаментозное лечение включает использование различных физических и реабилитационных средств для поддержания и улучшения состояния пациента. Также очень важно соблюдать диету и контролировать количество потребляемых жиров и соли.
Лечение с использованием лекарственных препаратов направлено на улучшение кровообращения в головном мозге и снижение проявлений болезни. Врачу нужно подбирать подходящие лекарства для каждого пациента индивидуально.
Профилактика дисциркуляторной энцефалопатии головного мозга включает поддержание здорового образа жизни и соблюдение правильного питания. Почему возникает данная болезнь, пока точно не известно, поэтому важно уделять внимание профилактике и регулярно следить за своим здоровьем.
Стадии болезни
Дисциркуляторная энцефалопатия головного мозга развивается постепенно и проходит через несколько стадий. Каждая стадия отличается своими характерными признаками и требует соответствующего лечения.
На первой стадии болезни наблюдается небольшое нарушение кровообращения в мозговых структурах. Пациент может не обращать внимание на первые симптомы, такие как головные боли, шум в ушах, повышенная утомляемость. Важно заметить эти признаки и обратиться к врачу для диагностики и назначения необходимого лечения.
На второй стадии болезни нарушение кровотока уже более выражено, что приводит к более серьезным симптомам и ограничениям в повседневной жизни пациента. В этой стадии важно соблюдать лечебную диету, отказаться от вредных привычек и поддерживать артериальное давление в норме. Также необходимо выполнять немедикаментозные методы физиотерапии и регулярно посещать врача для назначения лекарственной терапии.
Третья стадия болезни характеризуется тяжелыми нарушениями кровообращения в головном мозге. В этом состоянии пациент становится инвалидом и нуждается в постоянном уходе и поддержке. Лечение на этой стадии направлено на поддержание жизненно важных функций организма, снижение степени нарушенного кровотока и улучшение качества жизни пациента.
Профилактика и своевременное обращение к врачу являются основными мерами предупреждения дисциркуляторной энцефалопатии головного мозга. Важно следить за своим здоровьем, поддерживать нормальное артериальное давление, соблюдать здоровый образ жизни и правильное питание.
Классификация стадий болезни и использование соответствующих методов лечения помогут сохранять здоровье и качество жизни человека при дисциркуляторной энцефалопатии головного мозга.
Может ли пациент стать инвалидом
В зависимости от стадии развития и тяжести нарушений, пациент с дисциркуляторной энцефалопатией может стать инвалидом. Однако, при правильной диагностике и своевременном лечении, возможно поддерживать состояние пациента и предотвращать прогрессирование болезни. Важно находиться под наблюдением врача и соблюдать его рекомендации по проведению терапии и контролю состояния.
Диагностика дисциркуляторной энцефалопатии включает в себя клинические осмотры, нейрологические тесты, нейровизуализацию и анализы крови. Классификация болезни опирается на степень нарушения кровообращения в различных областях головного мозга.
Лечение дисциркуляторной энцефалопатии включает применение лекарственных средств для улучшения кровообращения, контроля артериального давления и предотвращения образования тромбов. Кроме того, важную роль играют изменения образа жизни, такие как соблюдение диеты с ограничением животных жиров и холестерина, отказ от вредных привычек, физическая активность, уровень шума и стресса.
Признаками стадии болезни и наличие нарушенного кровообращения в головном мозге зависят от количества пораженных областей и степени сужения сосудов. В первой стадии заболевания возникает легкая симптоматика, когда пациент самостоятельно может выполнять повседневные действия. Во второй стадии уже наблюдается более серьезная симптоматика и требуется некоторая поддержка. В третьей стадии пациент нуждается в постоянной помощи и уходе других людей, поэтому возможны ограничения в обычной жизни и работе. Состояние пациента и его способность к самообслуживанию определяют, можно ли ему быть признанным инвалидом.
В целом, дисциркуляторная энцефалопатия головного мозга является серьезной болезнью, которая может привести к инвалидности, если не получает своевременного лечения и контроля. Поэтому важно следить за своим здоровьем, своевременно обращаться к врачу при появлении первых признаков, выполнять рекомендации по профилактике и лечению, а также поддерживать здоровый образ жизни.
Диагностика
Диагностика дисциркуляторной энцефалопатии головного мозга включает в себя оценку симптомов и применение различных методов исследования. Данное заболевание имеет несколько стадий развития, каждая из которых отличается своими особенностями.
Во время диагностики врач должен учитывать возраст пациента, наличие сопутствующих заболеваний, а также расспрашивать о характере жизни человека, включая режим питания, количество физической активности и наличие вредных привычек.
Первая стадия болезни характеризуется нарушениями мозгового кровообращения и может проявляться неврологическими симптомами, такими как головные боли, головокружение и шум в ушах. Для подтверждения диагноза можно использовать методы обследования, такие как энцефалография, КТ или МРТ мозга.
Во второй стадии болезни наблюдается умеренное нарушение мозгового кровообращения и симптоматика становится более выраженной. В этом случае, для диагностики можно использовать УЗИ сосудов головы и шеи, а также допплерографию.
Третья стадия характеризуется значительным нарушением мозгового кровообращения и возникают серьезные неврологические симптомы. Для подтверждения диагноза врач может назначить компьютерную ангиографию или церебральную ангиографию.
Лечение дисциркуляторной энцефалопатии головного мозга обычно включает несколько направлений. Кроме лекарственной терапии, пациенту рекомендуется соблюдать немедикаментозное лечение, такое как соблюдение режима питания, физическая активность, отказ от вредных привычек и следить за состоянием артериального давления.
Диагностика и лечение дисциркуляторной энцефалопатии должны быть проведены врачом и могут привести к улучшению состояния пациента. Следует помнить, что признаками этого заболевания могут быть не только неврологические симптомы, но и нарушения памяти, сонливость и ухудшение концентрации внимания.
Профилактика дисциркуляторной энцефалопатии включает в себя поддержание здорового образа жизни, небольшое количество потребляемых животных жиров, регулярные медицинские обследования и своевременное обращение к врачу при появлении признаков заболевания.
Лекарственная терапия
Классификация лекарственных средств
Лекарственные препараты, используемые для лечения дисциркуляторной энцефалопатии, включают:
- Сосудорасширяющие средства, которые способствуют расширению сосудов головного мозга и улучшению кровообращения. Они помогают справиться с головной болью, шумом в ушах и другими симптомами.
- Противосклеротические средства, препятствующие развитию атеросклероза и улучшающие состояние сосудистой стенки. Они способствуют снижению риска образования тромбов.
- Ноотропные препараты, улучшающие когнитивные функции мозга и память.
- Антиагреганты и антикоагулянты, предотвращающие образование тромбов и улучшающие реологические свойства крови.
Признаки нарушенного кровообращения

Пациенты с дисциркуляторной энцефалопатией могут испытывать следующие симптомы:
- Головная боль
- Головокружение
- Нарушения памяти и концентрации
- Повышенная утомляемость
- Шумы в ушах или слуховые нарушения
- Снижение интеллектуальных способностей
Лечение и немедикаментозное воздействие
Для эффективного лечения дисциркуляторной энцефалопатии пациенту рекомендуется следовать специальной диете, богатой омега-3 жирными кислотами, и уровновешенному питанию. Также важно контролировать артериальное давление, соблюдать активный образ жизни и избегать вредных привычек.
Врач назначает лекарственные препараты, учитывая стадию болезни и особенности пациента. Терапия может быть довольно длительной и подразумевает регулярное наблюдение у врача.
Лекарственная терапия дисциркуляторной энцефалопатии помогает улучшить кровообращение в головном мозге, предотвращает прогрессирование болезни и снижает риск развития инвалидности.
Помните, что самостоятельное использование лекарственных препаратов без предварительной диагностики и консультации с врачом может быть опасным для здоровья.
Немедикаментозное лечение
Вместе с лекарственной терапией немедикаментозное лечение играет важную роль в борьбе с дисциркуляторной энцефалопатией головного мозга. Оно состоит из комплекса мер, направленных на поддержание нормального кровообращения в мозге и улучшение его функций. Немедикаментозное лечение включает в себя изменение образа жизни пациента, диету, физические упражнения и регулярные медицинские осмотры.
Диета
- Диета играет важную роль в профилактике и лечении дисциркуляторной энцефалопатии. Правильное питание помогает снизить риск развития атеросклероза и поддерживать нормальное состояние кровеносных сосудов.
- Пациентам рекомендуется ограничивать потребление животных жиров и продуктов, богатых холестерином. Вместо этого стоит предпочитать растительные масла и овощи.
- Важно также контролировать количество потребляемой соли, чтобы предотвратить повышение артериального давления.
- Рацион должен быть богат витаминами и минералами, особенно такими, которые способствуют укреплению стенок сосудов и улучшению мозгового кровообращения.
Физические упражнения

Регулярные физические тренировки помогают укрепить сердечно-сосудистую систему и поддерживать нормальное кровообращение в организме. Физическая активность способствует улучшению общего состояния пациента, снижению веса, нормализации артериального давления и улучшению функций головного мозга. При выборе упражнений необходимо учитывать возраст, физическую подготовку и состояние пациента. Рекомендуется умеренная интенсивность тренировок, которую пациент может выполнять без дискомфорта и утомления.
Избегание факторов риска

Для пациентов с дисциркуляторной энцефалопатией важно соблюдать профилактику и избегать факторов риска, которые могут привести к развитию и ухудшению заболевания. Это включает следующие меры:
- Контроль артериального давления и поддержание его на оптимальных уровнях.
- Отказ от курения и употребления алкоголя.
- Управление стрессом и избегание чрезмерных физических и эмоциональных нагрузок.
- Соблюдение правильного режима сна и отдыха.
Немедикаментозное лечение дисциркуляторной энцефалопатии помогает улучшить качество жизни пациента и замедлить прогрессирование болезни. Оно важно на всех стадиях заболевания и может быть использовано как самостоятельное средство лечения или в комбинации с медикаментозной терапией. Признаками эффективного немедикаментозного лечения являются улучшение общего состояния пациента, уменьшение частоты и тяжести неврологических нарушений и замедление развития болезни.
Диета
Пациенту с дисциркуляторной энцефалопатией следует соблюдать диету, которая позволяет следить за состоянием сосудистых стенок и предотвращать нарушения кровообращения в мозге. Одним из основных принципов диеты является ограничение потребления продуктов, которые могут привести к развитию атеросклероза. К таким продуктам относятся животные жиры, богатые холестерином, и продукты, содержащие большое количество простых углеводов.
В зависимости от стадии развития болезни и клинических проявлений, количество потребляемых пищевых продуктов может отличаться. В первой стадии болезни важно соблюдать меры профилактики и использовать немедикаментозное лечение, в том числе диету. Вторая стадия характеризуется более серьезными неврологическими симптомами и может потребовать назначения специализированных пищевых средств.
Важно учитывать, что диета для пациента с дисциркуляторной энцефалопатией должна быть сбалансированной и включать питательные вещества, необходимые для нормального функционирования организма. Рекомендуется обратиться к врачу для получения индивидуальных рекомендаций по составлению питания.
| Классификация | Стадии | Диагностика |
|---|---|---|
| Диета | Первая | Исследование пациента на предмет нарушения мозгового кровообращения |
| Симптоматика | Вторая | Неврологические признаки, такие как головная боль и нарушение зрения |
| Лечение | — | Применение лекарственных средств для снижения риска развития осложнений |
| Профилактика | Соблюдение здорового образа жизни, включая правильное питание и физическую активность |
Таким образом, диета играет важную роль в лечении дисциркуляторной энцефалопатии головного мозга. Поддерживая правильное питание, пациент может улучшить состояние своего здоровья и снизить риск развития осложнений.
Профилактика
Профилактика дисциркуляторной энцефалопатии головного мозга направлена на предотвращение развития болезни и поддержание хорошего состояния кровообращения в области головного мозга. Для этого необходимо соблюдать несколько простых мер:
1. Следить за своим здоровьем
Важно вовремя обращаться к врачу при появлении первых признаков нарушения кровообращения в мозговых сосудах, таких как головная боль, шум в ушах, головокружение, повышенное артериальное давление. Также следует выполнять регулярные профилактические обследования и консультироваться у невролога для своевременной диагностики заболеваний и назначения необходимой терапии.
2. Поддерживать здоровый образ жизни
Употребление алкоголя, курение и неправильное питание негативно влияют на состояние сосудов и общее здоровье человека. Поэтому важно избегать таких вредных привычек и следовать рекомендациям врача по составлению правильного рациона питания.
3. Немедикаментозное лечение
Помимо принятия лекарственных средств, также возможно использовать немедикаментозные методы лечения – физиотерапию, реабилитацию, массаж. Они способствуют улучшению кровообращения, метаболическим процессам в головном мозге и общему состоянию пациента.
4. Диета и физическая активность
Правильное питание и регулярные физические упражнения способствуют нормализации веса, снижению уровня холестерина в крови и укреплению сосудистых стенок. Поэтому важно учитывать эти факторы в своем образе жизни и следовать рекомендациям врачей по составлению диеты и физической активности.
Соблюдение этих простых рекомендаций поможет предотвратить развитие дисциркуляторной энцефалопатии головного мозга и сохранить здоровье головного мозга на многие годы.
Видео:
Диагностика дисциркуляторной энцефалопатии
Диагностика дисциркуляторной энцефалопатии de Доктор Борисов 25.677 visualizaciones hace 4 años 16 minutos








